오복만세치과 구로디지털단지에서 희망찬 내일을 이뤄 나가시는 분들의 오복을 책임지는 치과가 되겠습니다

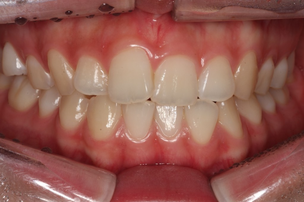
앞니 부분교정

투명교정 전 후

비발치교정. 치료기간 13개월

투명교정은, 인비절라인invisalign 이라는 상품명으로 널리 알려져 있습니다.

아래 환자분은 투명교정과 동시에 치아미백 치료도 받으셨습니다. 치료후의 치아가 더 밝아졌습니다.

IMG_3574-1024x681

IMG_6621-1024x682

 

 

전체교정 전 후

비발치교정. 치료기간 23개월

 

IMG_3361-1024x681

IMG_8358-1024x683

top